A fogaid egészsége a mi szenvedélyünk
Dr. Képes Dentálhigiénia
Szájhigiéniás kezelések, fogkő-eltávolítás, fogfehérítés, edukáció
A fogszabályozásban eltöltött több, mint egy évtized rámutatott arra, mekkora előnyt jelenthet mind az orvos, mind a páciens számára, ha egy-egy adott probléma helyett komplex szemlélettel tekintünk a fogak egészségére. Ennek egyik kiemelkedően fontos elemeként szeretném minél több gyermek és felnőtt részére elérhetővé tenni dentálhigiéniai kezeléseinket és bebizonyítani, hogy egy fogkő eltávolítás vagy fogfehérítés félelem nélkül, jó érzéssel távozva is megélhető.
Nálunk megtanulhatod a tökéletes szájhigiénia lépéseit. Szükség esetén modern, ultrahangos fogkő eltávolítással, polírozással vagy akár homokfúvással varázsoljuk tisztává fogaid minden apró szegletét. A fogzománc meggyengült, esetleg érzékeny részeit fluoridos kezeléssel erősítjük meg. Végezetül a tökéletes mosoly elengedhetetlen részeként a kíméletes, mégis hatékony fogfehérítésben is segítünk.
Boldogan vezetünk be a minőségi szájápolás világába, hogy fogaid mindig tiszták és ragyogóan fehérek legyenek.
Dr. Képes Dániel
A Tisztafogak dentálhigiénia alapítója
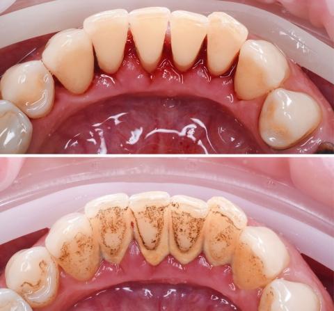
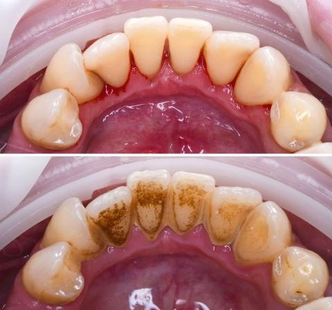
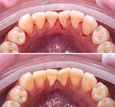
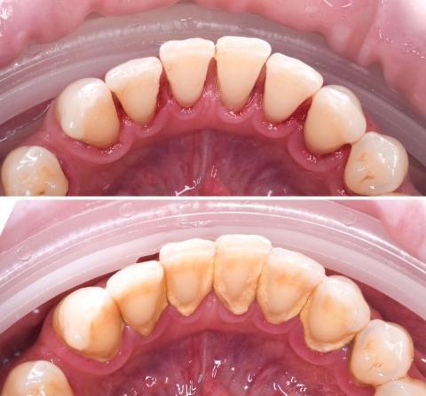
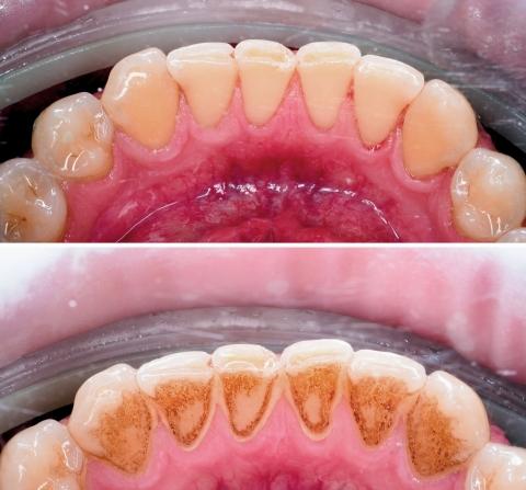
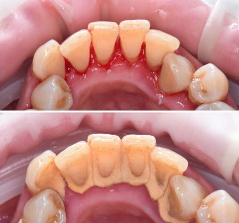
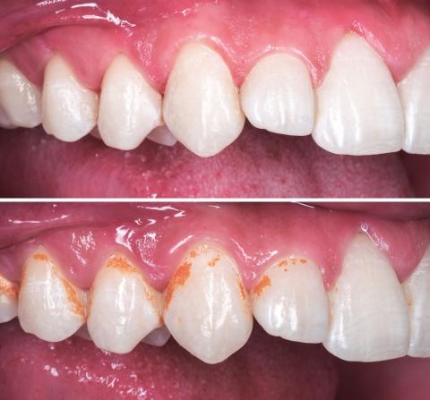
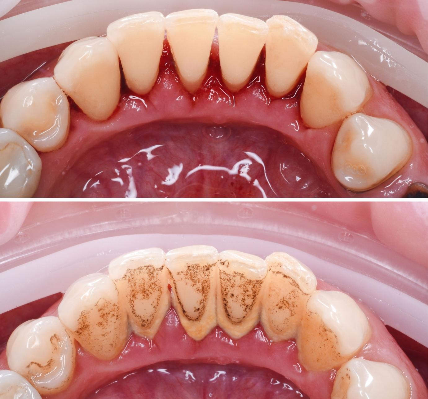
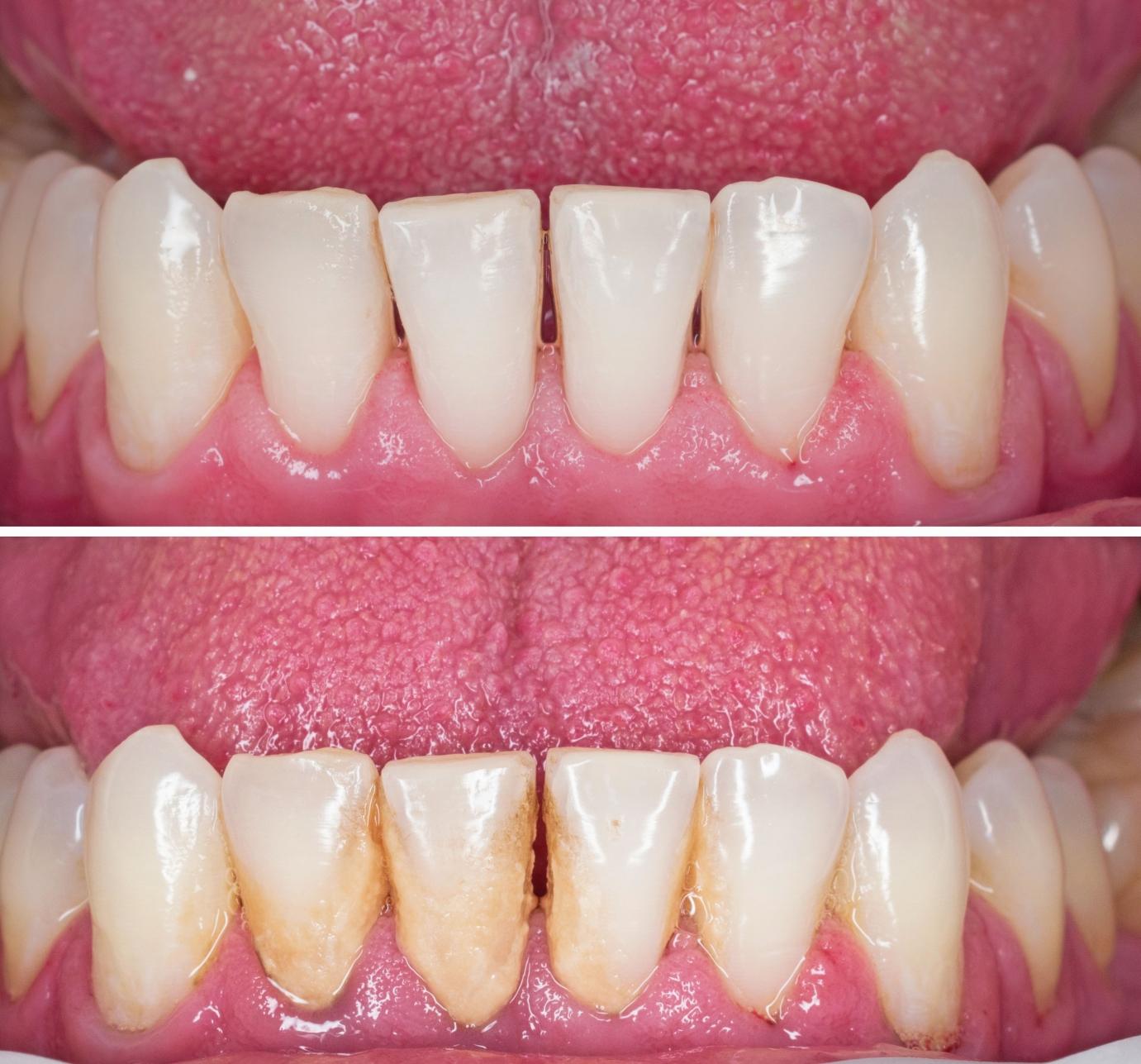
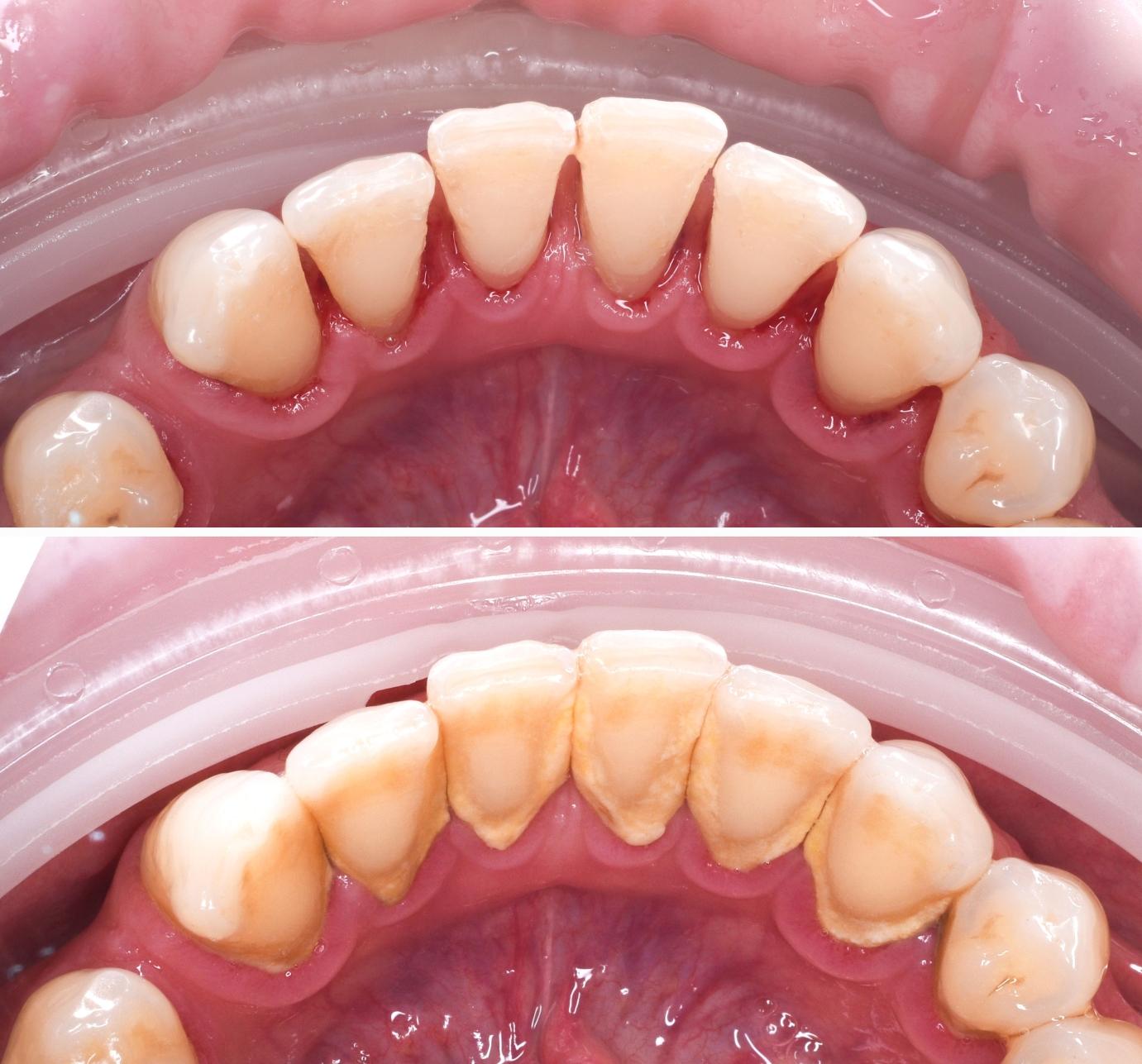
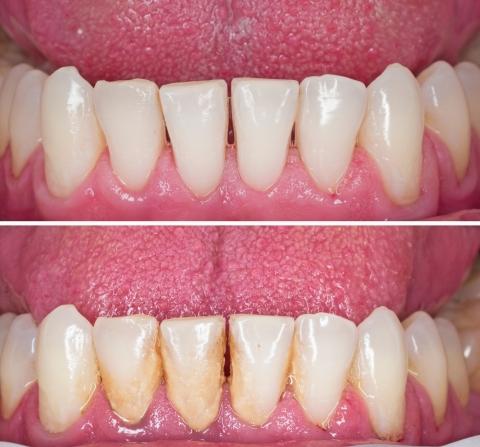
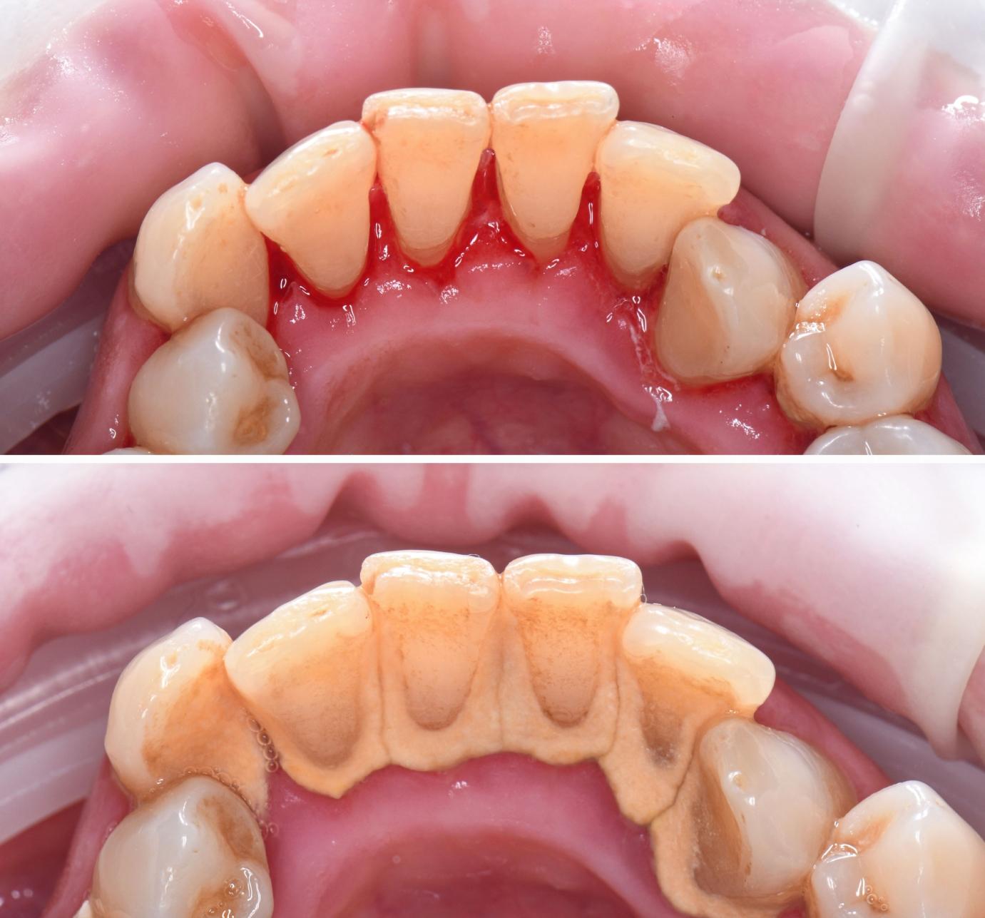
Az ultrahangos fogkő eltávolítás a professzionális dentálhigiéniai kezelések zászlóshajója, szinte bármely más kezelés, akár egy egyszerű fogfehérítés kötelező alapja. A fogkő és lerakódások eltávolítása segít megszüntetni a fogíny gyulladását is, ezáltal jelentősen mérsékli a fogágybetegség kialakulásának esélyét, valamint csökkenti a rossz lehelet kialakulásáért felelős baktériumok mennyiségét is.
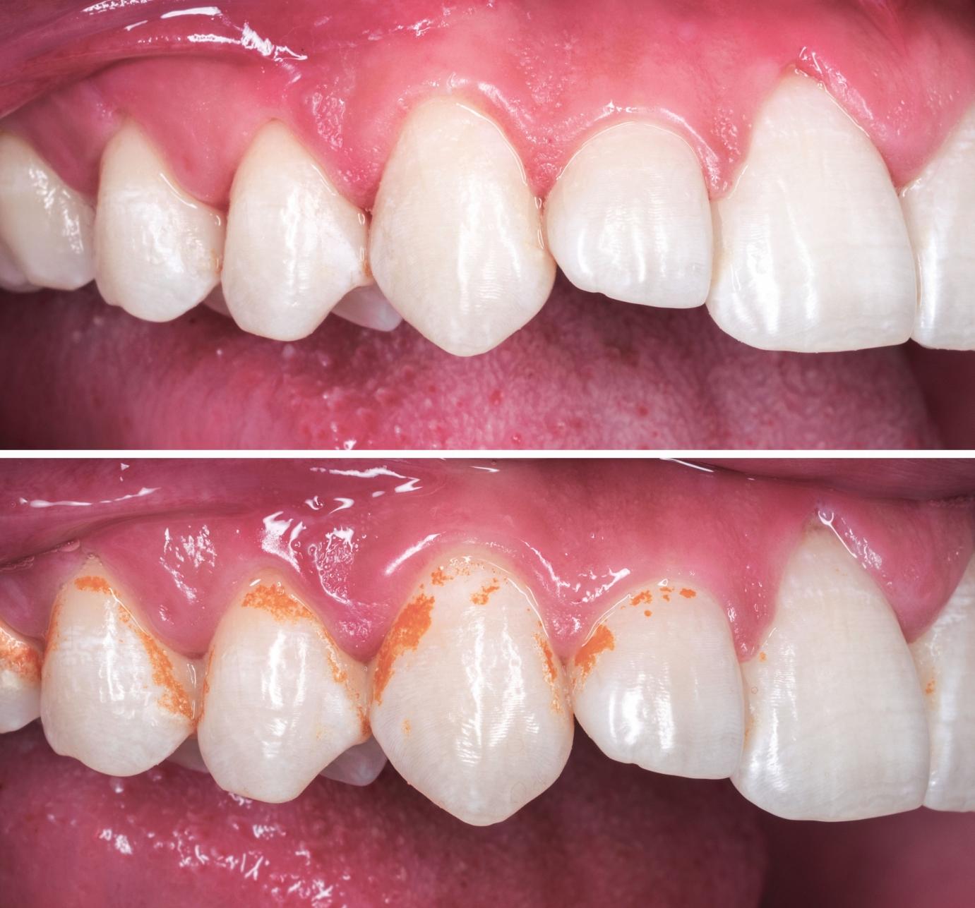
Kávé, tea, dohány, esetleg vörösbor? Mind-mind olyan élvezeti cikkek, amelyek még a legalaposabb fogmosás mellett is nyomot hagynak fogainkon és jelentősen rontják mind a fogkő eltávolítás, mind a fogfehérítés eredményét. A fogyasztásuk során képződő sötétbarna lerakódás nagyon erősen tapad a fogak felszínére, melyet hatékonyan eltávolítani csak a dentálhigiéniai homokfúvással lehet. A kezelés során vízhűtés mellett nagy nyomással polírozó homokot juttatunk a fog felszínére, mely a zománc sérülése nélkül képes eltüntetni a nem kívánatos elszíneződéseket ezáltal visszaadva a fogak eredeti színét, továbbá mérsékli a fogíny gyulladást okozó baktériumok számát, így csökkentve a rossz leheletet.
Az egészséges fogak és íny megőrzése érdekében a professzionális szájhigiéniai kezelésünk négy lépésből áll: Ultrahangos fogkő-eltávolítás, mellyel megszűntetjük a fogágybetegségért felelős lerakódásokat. Homokfúvás, amely a legkisebb résből is eltávolítja az elszíneződéseket. Polírozás, mely sima, csillogó felületet hoz létre és fluorid-nanopolimer bevonat a fogérzékenység csökkentése és a maximális zománc regeneráció érdekében.
Fogaink természetes színe genetikailag kódolt, amelynek megőrzésében otthoni és professzionális dentálhigiénések kezelések segíthet. Azonban ha szeretnéd még fehérebbé varázsolni a fogaidat, úgy fogfehérítésre lesz szükséged. Az alvás közben hordható, egyedileg gyártott fogfehérítő sínekkel, a fogak alapszíne több árnyalatot is világosodik, amely a megfelelő szájápolás, illetve a rendszer fogkő eltávolítás mellett évekig megőrizhető.
A fogmosás valószínűleg olyan, mint a futball, mindenki ért hozzá. Ennek ellenére fontos lehet, hogy a megfelelő dentálhigiéniai szakembertől a fogazatunknak megfelelő fogmosási technikát tanuljuk meg és alkalmazzuk. Más-más technikára van szüksége egy gyermeknek, egy hídpótlással rendelkező felnőttnek, de a fogszabályozó kezelés, az ínyvisszahúzódás, rosszabb esetben a fogágybetegség vagy a krónikus fogíny gyulladás is jelentősen változtat az ajánlott fogmosási technikán, melynek helyes elsajátítása csökkenti a szükséges fogkő eltávolítások gyakoriságát és fogfehérítésben is segítsünkre lehet.
A helytelen fogmosás, legyen az akár felszínes vagy túlzottan intenzív, károsíthatja a fogak keményszöveteit. A lepedék okozta ásványianyag veszteség vagy az erős dörzsöléssel összefüggő ínyvisszahúzódás miatt kialakuló fognyaki érzékenység eredményesen kezelhető magas fluorid tartalmú, láthatatlan, mégis erősen tapadó lakkokkal, de ez a speciális dentálhigiéniai kezelés ugyanígy segítségünkre lehet a fogkő eltávolítás vagy a fogfehérítést követő érzékenység csökkentésében is.
HPV a szájüregben? Igen, sajnos létezik. A humán papillómavírus (HPV) bizonyos típusai a szájüregben, valamint a torokban is jelen lehetnek, ahol akár komoly betegségekhez, például daganatok kialakulásához is vezethetnek. A fájdalommentes szűrés néhány perc alatt elvégezhető rendelőnkben, és segíthet időben felismerni a kockázatokat. Előzd meg a bajt, jelentkezz be szűrésre!
Szeretettel várunk nyugodt budai magánrendelőnkben, ahol a tiszta és ragyogóan fehér fogak születnek.
1111 Budapest, Lágymányosi utca 7.
Rendelés:
Hétfő: 13:00 - 19:00
Telefon: 0630-711-8001
Hívható: H-P 10:00-18:00

Amennyiben kérdésed van az elérhető dentálhigiéniai kezelésekkel kapcsolatban, mint például a fogkő eltávolítás vagy fogfehérítés, esetleg már tudod is mire van szükséged írj bátran vagy használd az online időpontfoglalás lehetőségét. Szükség esetén az alábbi űrlap kitöltésével fel tudod venni velünk a kapcsolatot és minden felmerülő kérdésben segítünk, legyen az akár a rossz leheletért felelős okok megtalálása.
Telefon: 0630-711-8001Hívható: H-P 10:00-18:00
kepesdentalhigienia [at] gmail [dot] com (kepesdentalhigienia[at]gmail[dot]com)